Iscriviti
Francesca Paola Scimenes
Salute
7
0
Lo stress aumenta la probabilità di fiocco rosa
Secondo una recente ricerca condotta dall'Università di Granada, lo stress della madre nelle fasi di concepimento e durante la gravidanza potrebbe favorire la nascita di una femminuccia.
Salute
7
0
Il cloro inattiva il Covid-19 in soli 30 minuti
Secondo una recente ricerca inglese, il cloro nell’acqua delle piscine renderebbe improbabile il rischio di diffusione del Covid-19, inattivando il virus in soli 30 secondi.
Salute
8
0
Mai così tanti parti gemellari nel mondo
Secondo una recente ricerca pubblicata sulla rivista Human Reproduction, negli ultimi anni si sta assistendo ad un vero e proprio boom di parti gemellari nel mondo.
Ambiente
7
0
In arrivo la pellicola trasparente ricavata dalle alghe
Secondo quanto riportato dal Journal of Food Engineering, un team di ricerca russo-indiano ha realizzato una pellicola trasparente per alimenti ricavata dalle alghe, che può sostituirsi completamente a quella in plastica.
Salute
6
0
Lenti a contatto per diagnosticare e monitorare le malattie oculari
Un team di ricercatori della Purdue University ha realizzato un sensore ERG che, posizionato sulle lenti a contatto, consente di diagnosticare e monitorare diverse malattie oculari.
Salute
14
0
Scoperto nel cervello dei topi il meccanismo che rende la paura contagiosa
Un recente studio americano dell’Università di Stanford ha portato alla scoperta, nel cervello dei topi, del meccanismo per cui la paura diventa contagiosa.
Salute
12
0
La percezione del gusto amaro dipende dall'anatomia della lingua
Secondo una recente ricerca danese, la percezione del gusto amaro dipende dall’anatomia della lingua e in particolare dalla quantità di papille fungiformi.
Salute
9
0
I gemelli omozigoti non sono geneticamente uguali
Secondo un recente studio, i gemelli omozigoti non sono uguali al 100% ma possono differire per alcuni cambiamenti genetici che influenzerebbero l’aspetto fisico e la predisposizione a determinate malattie.
Salute
7
0
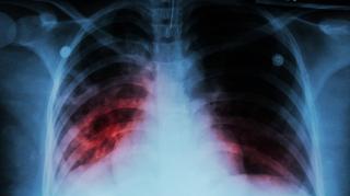
Restrizione calorica controllata per curare e prevenire la tubercolosi
Un recente studio italiano ha dimostrato che la restrizione calorica controllata è in grado di curare e di prevenire l'infezione polmonare da mycobacterium tuberculosis.
Salute
13
0
Rischio cardiovascolare maggiore se la pressione sanguigna è diversa tra le due braccia
Secondo uno studio internazionale, una differenza significativa tra i livelli di pressione sanguigna tra i due arti superiori potrebbe indicare un maggior rischio di problemi cardiovascolari.
Mostra altri